Rozmawiając na temat ostrej białaczki szpikowej, którą zajmuję się ponad 30 lat, często mówię, że jest to choroba stanowiąca istotne zagrożenie dla życia pacjenta niezależnie od tego, w jakim jest on wieku.
Skrót AML oznacza ostrą białaczkę szpikową. Pochodzi on od anglojęzycznej nazwy tej choroby – acute myeloid leukemia.
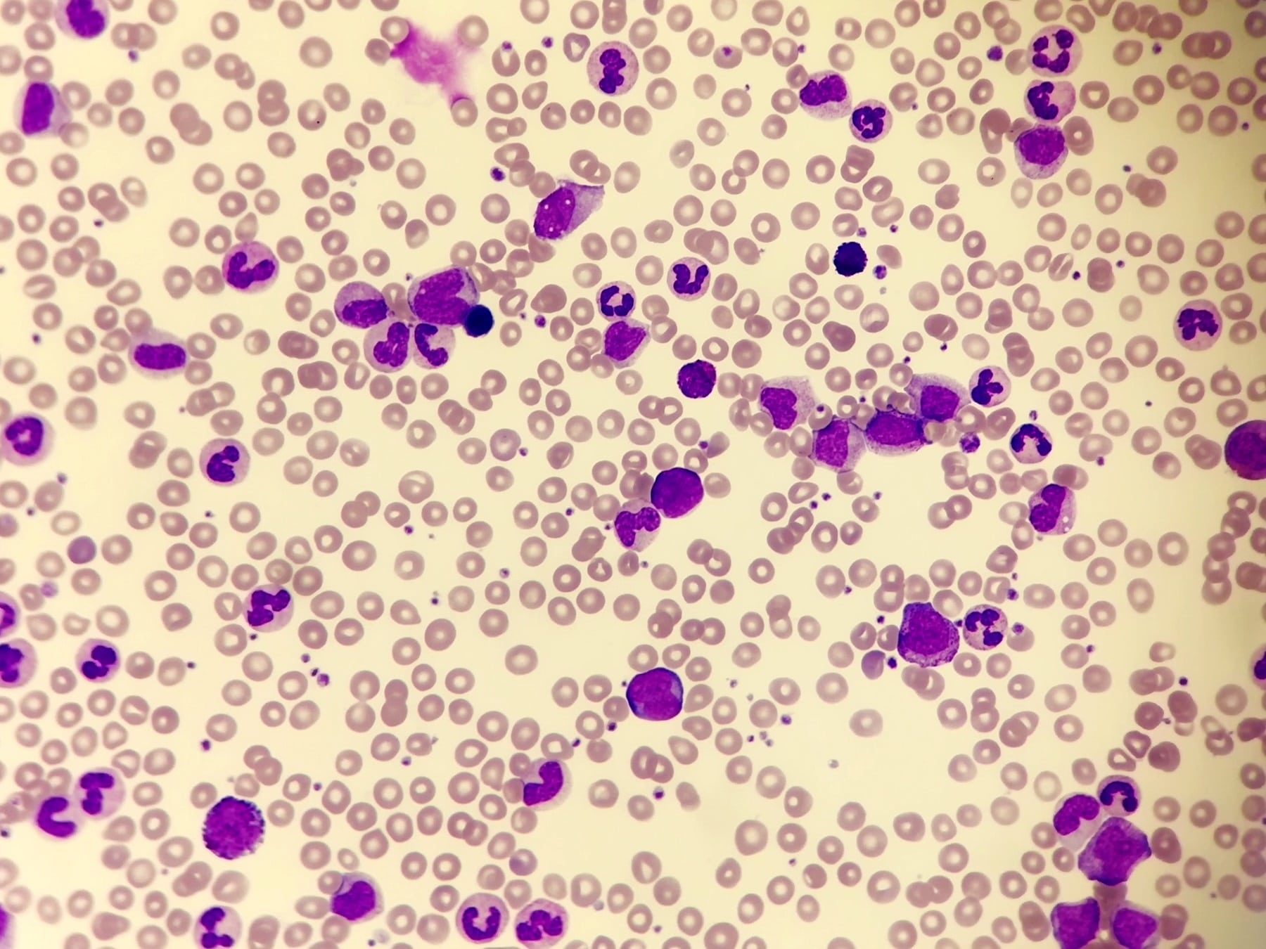
AML najczęściej zaczyna się w szpiku kostnym – w bardzo krótkim czasie dochodzi tam do proliferacji (intensywnego wzrostu liczby) komórek białaczkowych, które wypierają prawidłowe utkanie szpiku i przedostają się do krwiobiegu, czasem naciekają też narządy. Choroba u większości pacjentów rozwija się dynamicznie i w bardzo krótkim czasie prowadzi do zaburzeń w obrazie krwi. Objawy kliniczne na wczesnym etapie jej rozwoju są jednak bardzo mało charakterystyczne. Pacjenci często skarżą się na osłabienie (wynikające ze spadku stężenia hemoglobiny), bardzo często mają nawracające i nie poddające się leczeniu infekcje górnych i dolnych dróg oddechowych, wykazują też symptomy tak zwanej skazy krwotocznej, czyli mają krwawienia z dziąseł i z nosa, a także wybroczyny na skórze czy inne krwawienia.
Morfologia krwi jest badaniem prostym i tanim, ale ważnym, gdyż jego wynik przy niecharakterystycznych objawach może wskazywać na ostrą białaczkę szpikową i kierunkować lekarzy na diagnostykę właśnie w stronę AML.
Czy mamy terapie dla wszystkich?
Ostra białaczka szpikowa musi być bezwzględnie leczona. Najbardziej skuteczne leczenie to intensywna chemioterapia, najlepiej celowana, czyli taka, która ukierunkowana jest na konkretną mutację występującą u pacjenta. Terapia celowana jest u nas stosowana od kilku lat jako dodatek do chemioterapii i zwykle jest finansowana z budżetu państwa w ramach programów lekowych. U części pacjentów w oparciu o charakterystykę choroby, rokowanie i stan ogólny chorego podejmujemy decyzję o transplantacji komórek krwiotwórczych.
Decyzja o leczeniu musi być podjęta szybko, najlepiej w profesjonalnych jednostkach, które potwierdzą rozpoznanie, w krótkim czasie scharakteryzują chorobę (głównie pod względem genetycznym) i dokonają oceny rokowania. W oparciu o te elementy wybiera się sposób leczenia i dostosowuje go do pacjenta w zależności od jego wieku, obciążenia chorobami i stanu ogólnego.
Obecnie mamy opcje leczenia dla każdego pacjenta, lecz jeszcze kilka lat temu tak nie było. Do niedawna nie mieliśmy możliwości leczenia pacjentów w podeszłym wieku i z wielochorobowością, ale od kilku lat taka opcja już jest dostępna – z dobrymi wynikami w porównaniu do wcześniejszych możliwości. Nie mamy jednak w Polsce pełnego portfolio terapii dla pacjentów w starszym wieku, czyli nie kwalifikujących się do intensywnej terapii. W Europie i na świecie są już zarejestrowane nowe sposoby leczenia, które u części pacjentów mogłyby być stosowane, ale w naszym kraju nie uzyskały jeszcze refundacji w tym wskazaniu.
Terapie dla chorych fit i unfit
Wejście na ścieżkę terapeutyczną musi poprzedzać realizowana bardzo szybka diagnostyka – w ciągu 2-3 dni lekarz kwalifikujący chorego do leczenia może otrzymać szczegółowe informacje diagnostyczne pomagające w dobraniu optymalnej terapii. Równolegle wykonywane są badania oceniające stan ogólny pacjenta. W większości przypadków do leczenia intensywnego kwalifikowani są chorzy poniżej 60–65 roku życia (tzw. pacjenci „fit”), jednak intensywnej terapii mogą być poddane także starsze osoby.
Leczenie intensywne bezwzględnie wiąże się z pobytem chorego na oddziale hematologii i z podaniem przez kilka dni standardowej chemioterapii dożylnej, a do tego – w zależności od charakterystyki genetycznej – dodajemy lek celowany. Terapia celowana może być doustna albo dożylna. Dzięki takiemu leczeniu jego wyniki – w porównaniu do sytuacji sprzed np. 10 lat – poprawiły się i z tego powodu obecnie inaczej kwalifikujemy pacjentów do przeszczepienia. Chorzy „fit” z grupy korzystnego rokowania poddawani są intensywnej chemioterapii i leczeniu celowanemu, ale nie muszą być kwalifikowani do transplantacji szpiku. Są też chorzy „fit”, o których od początku wiemy, że mają chorobę o złym rokowaniu. Osoby te są leczone intensywnie, często terapią celowaną, ale już na tym etapie zaczynamy poszukiwania dawcy do przeszczepienia i staramy się w krótkim czasie takich pacjentów do tej procedury zakwalifikować.
U pacjentów nie kwalifikujących się do intensywnego leczenia (tzw. pacjenci „unfit”) ścieżka diagnostyczna wygląda tak samo, ale poświęcamy bardzo dużą uwagę potwierdzeniu, że jest to chory, który naprawdę nie kwalifikuje się do intensywnej terapii. Dziś w Polsce ci pacjenci są kwalifikowani do leczenia z zastosowaniem dwóch leków stosowanych doustnie lub podskórnie.
Leczenie także w domu
Zwykle większość chorych „unfit” wymaga hospitalizacji w pierwszej fazie leczenia. Jest to leczenie ciągłe, czyli nie ma zakończenia – stosuje się je tak długo, jak pacjent na nie odpowiada. Kiedy uzyskujemy odpowiedź na leczenie, może być ono dalej prowadzone ambulatoryjnie. To bardzo duży plus dla pacjentów w starszym wieku, gdyż źle znoszą oni hospitalizację – często dochodzi u nich do powikłań infekcyjnych w trakcie pobytu w szpitalu, pojawiają się też zaburzenia o charakterze emocjonalnym czy kognitywnym. Leczenie w domu daje dużo korzyści choremu, ale nie jest łatwe, bo musimy zwracać uwagę na to, żeby nie dochodziło do interakcji z lekami, które pacjent bierze, na przykład, z powodu nadciśnienia czy cukrzycy. Tak prowadzone leczenie pozwala na uzyskanie odpowiedzi u ponad 60% pacjentów. Oczywiście tą metodą choroby wyleczyć nie można, ale może się zdarzyć, że pod wpływem tej terapii stan pacjenta poprawi się na tyle, że można zacząć myśleć o transplantacji komórek krwiotwórczych.
Bardzo mocno oczekujemy na finansowanie zarejestrowanego już w Europie leku z grupy inhibitorów kinaz białkowych, przeznaczony dla pacjentów nie kwalifikujących się do intensywnego leczenia, mających mutację IDH1. Dla tych chorych na świecie dostępne jest leczenie z zastosowaniem tego leku w formie doustnej. Z literatury wiemy, że terapię tę można prowadzić ambulatoryjnie. Czekamy na refundację w tym wskazaniu.










